Ciencia: En el cerebro de los superancianos, la firma de la resiliencia
Tras un estudio en Gran Bretaña. Un neurólogo explicó en detalle la relación entre los picos de glucosa y el Alzheimer
Salud: Nuevos hallazgos sobre el Alzheimer
A los 84 años. Murió el papá de David Bisbal: el desgarrador adiós del cantante en las redes sociales
Salud: Con el Alzheimer se "atasca" el botón replay de la memoria
Tras un estudio en Gran Bretaña. Un neurólogo explicó en detalle la relación entre los picos de glucosa y el Alzheimer
Salud: dos factores en el ADN de los ancianos que protegen contra el Alzheimer
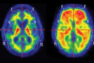
Alarmante. Las devastadoras revelaciones que dejó el escáner cerebral del paciente más joven con Alzheimer
Fáciles de incorporar. Los siete alimentos que estimulan la creación de nuevas neuronas, según el experto en longevidad David Céspedes
Regulador de salud de Brasil aprueba un nuevo medicamento contra el alzhéimer
Alzheimer, hacia el diagnóstico con una gota de sangre
Infosalus.- CEAFA pide a las administraciones abandonar "intereses economicistas" y financiar las nuevas terapias para el Alzheimer
Brasil.- El Supremo concede al general Augusto Heleno cumplir su condena por golpe de Estado en arresto domiciliario
Infosalus.- La anatomía de la región cerebral encargada de la percepción corporal, consciencia y memoria se define antes de nacer
En España, lluvia de millones en zona afectada por incendios
Infosalus.- La planificación compartida entre el paciente de demencia, sus familiares y el médico es "clave" para una atención digna
Ensayo clínico. LATE, la demencia que puede confundirse con Alzheimer y desafía el abordaje del deterioro cognitivo
Brasil.- La Fiscalía pide arresto domiciliario para el general Augusto Heleno, acusado de golpe de Estado, por alzhéimer
Infosalus.- AFAGA y la Fundación San Juan de Dios reciben las primeras ayudas de Cinfa en apoyo de las personas cuidadoras
Novo Nordisk dice que ensayo de un fármaco contra el Alzheimer fracasó; se hunden sus acciones
Según un nuevo estudio. Caminar unos miles de pasos al día puede reducir el riesgo de padecer Alzheimer
Ciencia. Científicos usan una supercomputadora que procesa cuatrillones de cálculos por segundo para simular la corteza cerebral
Infosalus.- Expertos, pacientes y familiares piden una atención "integral y respetuosa" a los colectivos vulnerables con Alzheimer
Latinoamérica.- La Reina Sofía inaugura en Ibiza los congresos dedicados al Alzheimer
Infosalus. Una investigadora señala que la salud cardiovascular es clave en el desarrollo del Alzheimer
ConFeafa expondrá en el Congreso Nacional e Iberoamericano de Alzheimer su experiencia pionera como entidad certificadora
"Mucho sufrimiento". Silvia Pérez: el renacer de su carrera, la relación tóxica con su hija y cómo la muerte de Olmedo cambió su vida
Esto revelan los expertos. ¿Es verdad que las sopas de letras, los crucigramas y los sudokus ayudan a prevenir el alzhéimer y la demencia?
La OMS pide atención urgente a la salud cerebral
Más leídas
- 1
Brenda Gandini: su historia de amor con Gonzalo Heredia, su admiración por su mamá, Daniela Cardone y su infancia en Cipolletti con su papá
2Fin de una época: la Argentina selló la paz con los fondos buitre que tenían deuda en default de 2001
3La historia de amor de Daniel Passarella y Graciela Benvenuto: “Mi compañera, el amor de mi vida”
4¿Es momento de comprar un auto? De los modelos que ingresan a los precios de referencia, una guía para entender el nuevo mercado




























